D-Cure -Best solution for Restorations
Dental restorations, also known as fillings, are used to repair teeth that have been damaged by decay, fractures, or wear. At Sasha Luxe, we offer advanced restorative solutions that not only restore the function of your teeth but also enhance their appearance.
We use modern materials like Composite Resin, GIC (Glass Ionomer Cement), and Composite Veneers to deliver durable, aesthetic, and minimally invasive treatments tailored to your needs.
Types of Restorations We Offer
GIC (Glass Ionomer Cement) Fillings: GIC is a tooth colored restorative material that chemically bonds to the tooth structure and releases fluoride over time helping to protect against further decay.
Composite Fillings: Composite (tooth colored) fillings are made of a resin based material that is both strong and highly aesthetic. They are ideal for repairing small to
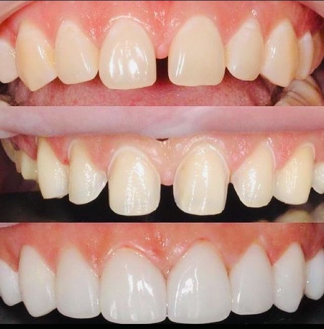
Composite Veneers: A Composite Veneer is a thin layer of tooth colored resin applied to the front surface of a tooth to improve its shape, color, or alignment. Unlike porcelain veneers, composite veneers are applied directly and sculpted chairside in a single visit.
Benefits of Restorative Treatment
- Natural looking, long lasting results
- Restores bite strength and tooth function
- Personalized approach for every smile
- Prevents further tooth decay or damage
- Minimally invasive techniques